Você também pode fazer seu agendamentos automatizado através do número (51) 3119-8585

Instamed Saúde

Laudo OIT

Laudo OIT

Laudo OIT

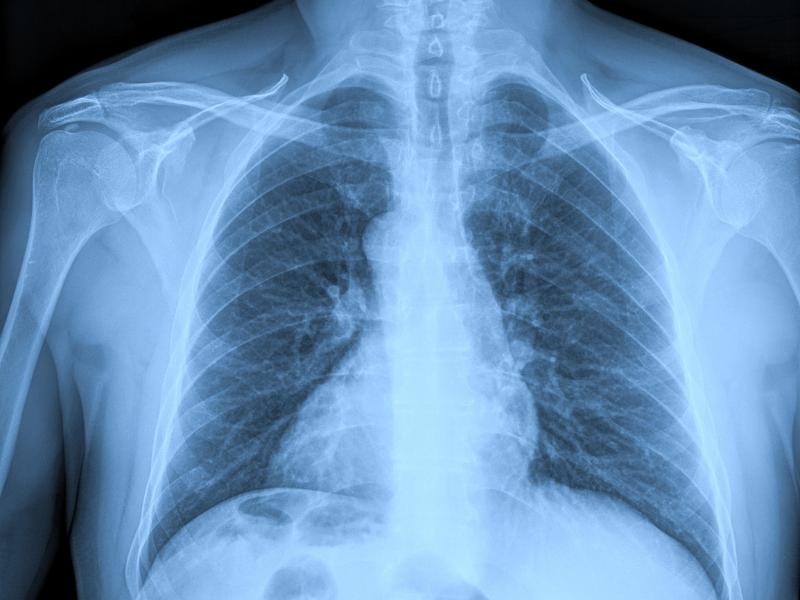
O Laudo OIT é um exame essencial para avaliar possíveis alterações pulmonares relacionadas à exposição ocupacional a poeiras, gases e outras substâncias nocivas. Baseado nos padrões da Organização Internacional do Trabalho (OIT), esse exame é indicado para trabalhadores de áreas industriais, mineração, construção civil e outras atividades de risco. Em Porto Alegre, a Instamed oferece Laudo OIT com tecnologia avançada e profissionais altamente qualificados.


O que é o Laudo OIT?

O Laudo OIT é um exame radiológico específico que segue a classificação padronizada da Organização Internacional do Trabalho para avaliação de pneumoconioses e outras doenças pulmonares ocupacionais. Esse exame é fundamental para detectar precocemente alterações pulmonares causadas por exposição prolongada a substâncias inalatórias nocivas. Na Instamed, garantimos um exame seguro e preciso para um diagnóstico confiável.


Vantagens do Laudo OIT

Realizar um Laudo OIT em Porto Alegre proporciona diversos benefícios, como:

Diagnóstico precoce de pneumoconioses, silicose, asbestose e outras doenças ocupacionais;

Avaliação detalhada da condição pulmonar para fins trabalhistas e previdenciários;

Procedimento seguro, indolor e de rápida execução;

Auxílio na definição de medidas preventivas e adequações no ambiente de trabalho;

Atendimento especializado em radiologia ocupacional.


Benefícios do Exame de Laudo OIT

Os principais benefícios do Laudo OIT incluem:

Diagnóstico precoce de doenças pulmonares ocupacionais;

Identificação de alterações pulmonares relacionadas à exposição a poeiras minerais;

Exame obrigatório para determinadas categorias profissionais;

Exame rápido e acessível, sem necessidade de preparo especial;

Atendimento de excelência em radiologia ocupacional em Porto Alegre.


Como é realizado o Laudo OIT?

O exame de Laudo OIT é realizado por meio de uma radiografia torácica padronizada, seguindo critérios rigorosos estabelecidos pela Organização Internacional do Trabalho. A interpretação das imagens é feita por médicos especializados em radiologia ocupacional, garantindo um diagnóstico preciso. Na Instamed, utilizamos equipamentos modernos para assegurar a qualidade das imagens e um laudo confiável.


Por que Escolher a Instamed para o Laudo OIT?

A Instamed é referência em Laudo OIT em Porto Alegre, oferecendo exames com qualidade, rapidez e confiabilidade. Contamos com uma equipe especializada e equipamentos modernos para garantir um diagnóstico seguro e preciso.


Agende seu Laudo OIT em Porto Alegre

Precisa realizar um Laudo OIT em Porto Alegre? Entre em contato com a Instamed e agende seu exame com nossos especialistas. Oferecemos um serviço de excelência, focado na sua saúde ocupacional. Agende agora mesmo e obtenha um diagnóstico preciso para um acompanhamento adequado!

Se preferir entre em contato por WhatsApp ou Telefone

(51) 99591-4372 (51) 3119-8585

Você também pode fazer seu agendamentos automatizado através do número (51) 3119-8585


Exames de RX

Cuide da Sua Saúde com um Check-up Completo

Monitore sua saúde de forma preventiva com nossos pacotes de check-up personalizados. Agende agora e garanta mais qualidade de vida!

Agendar Check-up!

Nossos Serviços de Saúde

Conheça as soluções que a InstaMed oferece para cuidar da sua saúde de forma completa e acessível.

// Clínica Médica Popular em Porto Alegre

Sobre a InstaMed

Cuidando da sua Saúde com Excelência e Confiança!

Na InstaMed, somos referência em saúde de qualidade em Porto Alegre. Oferecemos consultas médicas especializadas, exames laboratoriais e de imagem com tecnologia avançada, além de pacotes de check-up para monitoramento completo da sua saúde. Trabalhamos com diversos convênios para tornar o atendimento acessível e eficiente. Nosso compromisso é com o bem-estar de nossos pacientes, garantindo soluções completas e personalizadas para você e sua família. Escolha a InstaMed e descubra o cuidado que faz a diferença em Porto Alegre e arredores.

  • Consultas com especialistas em diversas áreas médicas

  • Exames laboratoriais e de imagem com resultados precisos

  • Check-ups personalizados para prevenção e diagnóstico precoce

  • Atendimento por convênios médicos reconhecidos

  • Localização acessível e infraestrutura moderna em Porto Alegre

+10.000
Pacientes atendidos com excelência por ano
98%
De satisfação nos atendimentos realizados
+500
Exames realizados mensalmente com precisão e agilidade
+20
Especialidades médicas para cuidar da sua saúde

Convênios Parceiros para Facilitar Seu Atendimento



Centro Médico Integrado em Porto Alegre

O Que Nossos Pacientes Dizem

Confira as experiências de quem já confia na InstaMed. Depoimentos reais que refletem nosso compromisso com qualidade e cuidado em cada atendimento.

Laudo OIT em Porto Alegre – Instamed. Na Instamed , oferecemos consultas especializadas para a realização de Laudo OIT com compromisso, excelência e dedicação à sua saúde. Se você busca um atendimento completo para avaliar sua condição, entre em contato conosco e agende sua consulta. Somos referência em Laudo OIT em Porto Alegre , garantindo diagnósticos precisos e tratamentos eficazes para o seu bem-estar. Agende sua consulta hoje mesmo e cuide da sua saúde com quem entende do assunto!

Clique para Ligar
Fale por WhatsApp
Agende pelo WhatsApp